cardiodreamteam.com

Портал профессионалов кардиологии
Текущее время: 09 ноя 2025, 18:26

Часовой пояс: UTC + 6 часов




Начать новую тему Ответить на тему  [ Сообщений: 161 ]  На страницу Пред.  1 ... 7, 8, 9, 10, 11  След.
Автор Сообщение
 Заголовок сообщения: Re: Головоломы (продолжение)
СообщениеДобавлено: 30 янв 2016, 20:54 
Не в сети
Site Admin
Аватар пользователя

Зарегистрирован: 24 мар 2005, 22:44
Сообщений: 26566
Мери Поппинс писал(а):
и название чудодейственного лекарства :?:

Нет таких лекарств. Как я могу знать имя того, чего нет?

_________________
Я вас всех люблю, но порядок должен быть!


Вернуться наверх
 Профиль  
 
 Заголовок сообщения: Re: Головоломы (продолжение)
СообщениеДобавлено: 30 янв 2016, 21:01 
Не в сети
Аватар пользователя

Зарегистрирован: 06 ноя 2008, 00:01
Сообщений: 4456
Откуда: Сургут
В гугле нет, одна надежда на логику.

Согласитесь не ради физиологии, мы вспоминаем здесь и сейчас выдающегося фон Анрепа Г.В.
Ради долгожданного ответа на Рентген-загадку.
Перемещаемся в viewtopic.php?f=24&t=11469


Вернуться наверх
 Профиль  
 
 Заголовок сообщения: Re: Головоломы (продолжение)
СообщениеДобавлено: 30 янв 2016, 21:52 
Не в сети
Site Admin
Аватар пользователя

Зарегистрирован: 24 мар 2005, 22:44
Сообщений: 26566
Мери Поппинс писал(а):
В гугле нет,

В гугле нет - в жизни нет! Помощник мог употреблять африканскую лиану. К изобретению строфантина Анреп никакого отношения не имеет!

_________________
Я вас всех люблю, но порядок должен быть!


Вернуться наверх
 Профиль  
 
 Заголовок сообщения: Re: Головоломы (продолжение)
СообщениеДобавлено: 30 янв 2016, 22:14 
Не в сети
Аватар пользователя

Зарегистрирован: 06 ноя 2008, 00:01
Сообщений: 4456
Откуда: Сургут
Жолтый Ангел писал(а):
Мери Поппинс писал(а):
В гугле нет,

В гугле нет - в жизни нет!

Точно.
Есть в жизни, есть и в гугле. Просто кто то плохо ищет.


Вернуться наверх
 Профиль  
 
 Заголовок сообщения: Re: Головоломы (продолжение)
СообщениеДобавлено: 02 фев 2016, 22:29 
Не в сети
Прима Осборна
Аватар пользователя

Зарегистрирован: 03 фев 2009, 22:02
Сообщений: 5684
заинтересовало. http://www.mordovnik.ru/strofant
Первым был, по-видимому, Пеликан (1865).
Интересно, как в СССР искали строфантин в местной фауне. И как в Узбекской ССР в 1960-х гг. наконец извлекли.


Вернуться наверх
 Профиль  
 
 Заголовок сообщения: Re: Головоломы (продолжение)
СообщениеДобавлено: 04 фев 2016, 19:58 
Не в сети
Аватар пользователя

Зарегистрирован: 06 ноя 2008, 00:01
Сообщений: 4456
Откуда: Сургут
У строфантина может Пеликан и первый, а у хххххххх – первый Анреп
Пеликан – строфантин
Анреп -

Недостающая пара не названа.
Ирина Николаевна, На самом деле ответ не сложен, очень интересен и очень полезен практически. Посетите раздел Рентген, образец Особый случай. Сопоставьте все подсказки, жду Ваших вопросов (Шеф без объяснений молчит как .... рыба об лед)


Вернуться наверх
 Профиль  
 
 Заголовок сообщения: Re: Головоломы (продолжение)
СообщениеДобавлено: 04 фев 2016, 22:40 
Не в сети
Прима Осборна
Аватар пользователя

Зарегистрирован: 03 фев 2009, 22:02
Сообщений: 5684
:shock: я думала, шеф отгадал про строфантин.


Вернуться наверх
 Профиль  
 
 Заголовок сообщения: Re: Головоломы (продолжение)
СообщениеДобавлено: 04 фев 2016, 22:46 
Не в сети
Прима Осборна
Аватар пользователя

Зарегистрирован: 03 фев 2009, 22:02
Сообщений: 5684
Вот это семейство! Очень интересные судьбы.


Вернуться наверх
 Профиль  
 
 Заголовок сообщения: Re: Головоломы (продолжение)
СообщениеДобавлено: 04 фев 2016, 22:49 
Не в сети
Аватар пользователя

Зарегистрирован: 06 ноя 2008, 00:01
Сообщений: 4456
Откуда: Сургут
limankina писал(а):
:shock: я думала, шеф отгадал про строфантин.

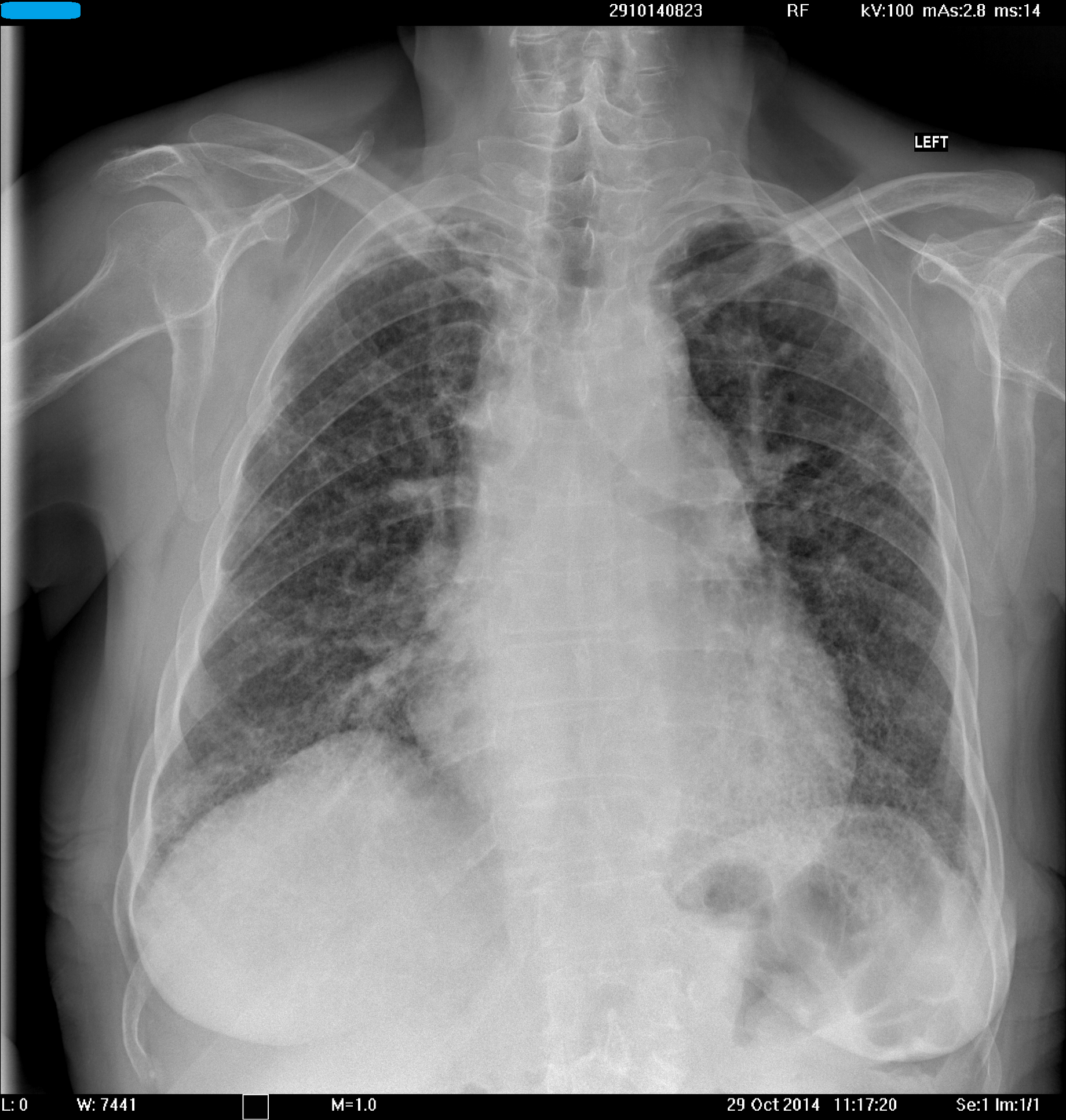
О, нет. Перчик не в строфантине.
Некий другой. Вызывающий представленные изменения в легких.


Вложения:
88.png
88.png [ 2.68 MiB | Просмотров: 55206 ]
Вернуться наверх
 Профиль  
 
 Заголовок сообщения: Re: Головоломы (продолжение)
СообщениеДобавлено: 04 фев 2016, 23:19 
Не в сети
Прима Осборна
Аватар пользователя

Зарегистрирован: 03 фев 2009, 22:02
Сообщений: 5684
такие изменения могут быть из-за амиодарона. :roll:


Вернуться наверх
 Профиль  
 
 Заголовок сообщения: Re: Головоломы (продолжение)
СообщениеДобавлено: 04 фев 2016, 23:33 
Не в сети
Аватар пользователя

Зарегистрирован: 06 ноя 2008, 00:01
Сообщений: 4456
Откуда: Сургут
Наконец-то!!! Браво!!! Долгожданная ЭВ-РИ-КА!!!!
Конечно, наш любимый надежный доказательный кордарон. Но черт возьми не такой уж и безопасный.
Кордароновый альвеолит!!!!


Вернуться наверх
 Профиль  
 
 Заголовок сообщения: Re: Головоломы (продолжение)
СообщениеДобавлено: 04 фев 2016, 23:38 
Не в сети
Аватар пользователя

Зарегистрирован: 06 ноя 2008, 00:01
Сообщений: 4456
Откуда: Сургут
Русский физиолог Глеб фон Анреп во время работы в Каире впервые заметил кардиоактивные свойства молекулы-предшественника Амиодарона, келлина. Келлин – это растительный экстракт растения Khella или Ammi visnaga, распространенного в Северной Африке. Анреп заметил, что у одного из его техников после приема келлина исчезли симптомы стенокардии, хотя раньше средство использовали для лечения различных, несердечных, недугов. Это наблюдение привело к тому, что представители европейской фармацевтической промышленности начинают объединять усилия с целью изолировать активное соединение. Амиодарон был первоначально синтезирован в 1961 году в компании Лабаз, Бельгия, химиками Tondeur и Binon, которые занимались разработкой препаратов на основе келлина. С этих пор вещество стало популярным в Европе средством для лечения стенокардии. Докторант Оксфордского университета, доктор Брама Сингх, установил, что Амиодарон и Соталол обладают антиаритмическими свойствами и принадлежат к новому классу антиаритмических средств (классу III антиаритмических средств).

http://lifebio.wiki/%D0%BA%D0%BE%D1%80% ... 0%BE%D0%BD


Вернуться наверх
 Профиль  
 
 Заголовок сообщения: Re: Головоломы (продолжение)
СообщениеДобавлено: 05 фев 2016, 00:00 
Не в сети
Прима Осборна
Аватар пользователя

Зарегистрирован: 03 фев 2009, 22:02
Сообщений: 5684
Как интересно! FDA не пропускала амиодарон и сломалась под натиском практической медицины. Да ещё без слепо-глухо-немых исследований. Невероятно!
История препаратов вообще удивительна. Синтезируют для одних целей - получают совершенно другое. При этом часто с прорывом в медицине.
Например, хлорпромазин (аминазин) делали как антигистаминное средство (по другим данным, противопаразитарное). Потом бешеный успех в анестезиологии. И, наконец, нейролептик! И началась - без преувеличения! - новая эра в психиатрии.


Вернуться наверх
 Профиль  
 
 Заголовок сообщения: Re: Головоломы (продолжение)
СообщениеДобавлено: 14 фев 2016, 23:31 
Не в сети
Аватар пользователя

Зарегистрирован: 04 июл 2009, 23:55
Сообщений: 262
Откуда: Прекрасное Далёко
В моей скромной библиотеке раздел "Медицина и искусство" украшает любопытный артефакт африканского народного творчества.
Вопрос: Чем занимаются персонажи скульптурки?


Вложения:
image.jpg
image.jpg [ 82.31 KiB | Просмотров: 55168 ]
image.jpg
image.jpg [ 34.67 KiB | Просмотров: 55168 ]
image.jpg
image.jpg [ 35.18 KiB | Просмотров: 55168 ]
image.jpg
image.jpg [ 21.5 KiB | Просмотров: 55168 ]

_________________
Scio me NIHIL scire
...а лекарям, кухарям, толмачам и протчей обозной сволочи за последним колесом последней колесницы итти, дабы видом своим унылым грусть на войска не наводить…
(c) П. А. Романов. Диспозиции на марш к Азову.
Вернуться наверх
 Профиль  
 
 Заголовок сообщения: Re: Головоломы (продолжение)
СообщениеДобавлено: 15 фев 2016, 01:14 
Не в сети
Аватар пользователя

Зарегистрирован: 06 ноя 2008, 00:01
Сообщений: 4456
Откуда: Сургут
Во первых, это что то ректальное
во вторых, похоже что это женская и детская фигурки.

Как вариант - исцеление какое то - per rectum. По африкански.


Вернуться наверх
 Профиль  
 
Показать сообщения за:  Сортировать по:  
Начать новую тему Ответить на тему  [ Сообщений: 161 ]  На страницу Пред.  1 ... 7, 8, 9, 10, 11  След.

Часовой пояс: UTC + 6 часов


Кто сейчас на форуме

Сейчас этот форум просматривают: нет зарегистрированных пользователей и гости: 14


Вы не можете начинать темы
Вы не можете отвечать на сообщения
Вы не можете редактировать свои сообщения
Вы не можете удалять свои сообщения
Вы не можете добавлять вложения

Найти:
Перейти:  
cron
Создано на основе phpBB® Forum Software © phpBB Group
Русская поддержка phpBB