cardiodreamteam.com

Портал профессионалов кардиологии
Текущее время: 28 фев 2026, 14:46

Часовой пояс: UTC + 6 часов




Начать новую тему Ответить на тему  [ Сообщений: 14 ] 
Автор Сообщение
 Заголовок сообщения: Туберкулез легких
СообщениеДобавлено: 30 окт 2015, 22:46 
Не в сети
Site Admin
Аватар пользователя

Зарегистрирован: 24 мар 2005, 22:44
Сообщений: 26576
диссеминированный туберкулез легких
Изображение

Обсуждалось здесь viewtopic.php?f=24&t=845

_________________
Я вас всех люблю, но порядок должен быть!


Вернуться наверх
 Профиль  
 
 Заголовок сообщения: Re: Туберкулез легких
СообщениеДобавлено: 31 окт 2015, 00:50 
Не в сети
Site Admin
Аватар пользователя

Зарегистрирован: 24 мар 2005, 22:44
Сообщений: 26576
Фиброзно-кавернозный

Обсуждали здесь viewtopic.php?f=24&t=3947


Вложения:
43436157_3_1.jpg
43436157_3_1.jpg [ 60.37 KiB | Просмотров: 53055 ]

_________________
Я вас всех люблю, но порядок должен быть!
Вернуться наверх
 Профиль  
 
 Заголовок сообщения: Re: Туберкулез легких
СообщениеДобавлено: 08 янв 2016, 16:08 
Не в сети
Site Admin
Аватар пользователя

Зарегистрирован: 24 мар 2005, 22:44
Сообщений: 26576
Туберкулемы справа
Изображение

Обсуждалось здесь viewtopic.php?f=24&t=4026

_________________
Я вас всех люблю, но порядок должен быть!


Вернуться наверх
 Профиль  
 
 Заголовок сообщения: Re: Туберкулез легких
СообщениеДобавлено: 30 апр 2016, 19:33 
Не в сети
Site Admin
Аватар пользователя

Зарегистрирован: 24 мар 2005, 22:44
Сообщений: 26576
Изображение
Туберкулез фиброзно кавернозный. Одна большая каверна и несколько мелких чуть выше. А справа диссеминация.

Обсуждали здесь viewtopic.php?f=24&t=4535

_________________
Я вас всех люблю, но порядок должен быть!


Вернуться наверх
 Профиль  
 
 Заголовок сообщения: Re: Туберкулез легких
СообщениеДобавлено: 09 янв 2017, 13:47 
Не в сети
Site Admin
Аватар пользователя

Зарегистрирован: 24 мар 2005, 22:44
Сообщений: 26576
Инфильтративный туберкулез

Обсуждалось в Госпитале Ослабленных Сердец


Вложения:
Безымянный.png
Безымянный.png [ 724.53 KiB | Просмотров: 52742 ]

_________________
Я вас всех люблю, но порядок должен быть!
Вернуться наверх
 Профиль  
 
 Заголовок сообщения: Re: Туберкулез легких
СообщениеДобавлено: 26 янв 2017, 20:40 
Не в сети
Site Admin
Аватар пользователя

Зарегистрирован: 24 мар 2005, 22:44
Сообщений: 26576
Ж 89 лет. В молодости перенесла туберкулезный плеврит. Запаян синус справа, справа в середине кальцинат. Фиброз в области правого корня.

Обсуждалось в Госпитале Ослабленных Сердец


Вложения:
1.png
1.png [ 496.67 KiB | Просмотров: 52677 ]

_________________
Я вас всех люблю, но порядок должен быть!
Вернуться наверх
 Профиль  
 
 Заголовок сообщения: Re: Туберкулез легких
СообщениеДобавлено: 23 фев 2017, 16:55 
Не в сети
Site Admin
Аватар пользователя

Зарегистрирован: 24 мар 2005, 22:44
Сообщений: 26576
Всё таки диссеминированный

Обсуждалось в Госпитале Ослабленных Сердец


Вложения:
44.png
44.png [ 455.74 KiB | Просмотров: 52626 ]

_________________
Я вас всех люблю, но порядок должен быть!
Вернуться наверх
 Профиль  
 
 Заголовок сообщения: Re: Туберкулез легких
СообщениеДобавлено: 18 апр 2017, 14:21 
Не в сети
Site Admin
Аватар пользователя

Зарегистрирован: 24 мар 2005, 22:44
Сообщений: 26576
Обсуждалось в Госпитале Ослабленных Сердец
На цифровых Rg- граммах органов грудной клетки в прямой проекции слева в верхнем и среднем полях отмечаются очаговые тени высокой интенсивности с достаточно четкими ровными контурами на фоне которых отмечаются тени средней интенсивности с нечеткими контурами.
Справа без очаговых и инфильтративных изменений. Легочный рисунок с обеих сторон умеренно усилен. Корни уплотнены, тяжисты. Синусы свободные. Границы cor в пределах нормы.
Заключение: Посттуберкулезные изменения слева (Наличие свежих очагов?)
Рекомендована консультация фтизиатра.


Вложения:
20171.png
20171.png [ 482 KiB | Просмотров: 52453 ]

_________________
Я вас всех люблю, но порядок должен быть!
Вернуться наверх
 Профиль  
 
 Заголовок сообщения: Re: Туберкулез легких
СообщениеДобавлено: 10 июн 2017, 23:36 
Не в сети
Site Admin
Аватар пользователя

Зарегистрирован: 24 мар 2005, 22:44
Сообщений: 26576
Фиброзно-кавернозный


Обсуждалось в Госпитале Ослабленных Сердец.


Вложения:
34.png
34.png [ 353.99 KiB | Просмотров: 52315 ]

_________________
Я вас всех люблю, но порядок должен быть!
Вернуться наверх
 Профиль  
 
 Заголовок сообщения: Re: Туберкулез легких
СообщениеДобавлено: 10 июн 2017, 23:45 
Не в сети
Site Admin
Аватар пользователя

Зарегистрирован: 24 мар 2005, 22:44
Сообщений: 26576
На контрольной цифровой Rg - грамме органов грудной клетки в прямой проекции слева сохраняется гомогенное затемнение в верхнем поле с неровным контуром, в нижнем поле на фоне фиброзных тяжей отмечаются множественные очаговые тени различной интенсивности, размером от 2мм до 8мм. Корень бесструктурен, частично прикрыт тенью сердца, подтянут кверху. Купол диафрагмы нечеткий. Синус гомогенно затемнен.
Справа отмечаются очаговые тени мягкой и средней интенсивности с нечеткими контурами. Легочный рисунок усилен. Корень малоструктурен. Синус свободен.
Границы сердца в пределах нормы. Трахея дугообрзно искривлена влево.
Заключение: Фиброателектаз верхней доли слева. Постуберкулезные изменения, выраженее слева, на фоне которых нельзя исключить наличие свежих очагов. Левосторонний малый гидроторакс. Р-картина без динамики.


Вложения:
223.png
223.png [ 419.31 KiB | Просмотров: 52313 ]

_________________
Я вас всех люблю, но порядок должен быть!
Вернуться наверх
 Профиль  
 
 Заголовок сообщения: Re: Туберкулез легких
СообщениеДобавлено: 22 июн 2017, 14:32 
Не в сети
Site Admin
Аватар пользователя

Зарегистрирован: 24 мар 2005, 22:44
Сообщений: 26576
На цифровой Rg - грамме в прямой проекции с обеих сторон отмечаются затемнения инфильтративного характера с нечеткими контурами, на фоне которых отмечаются множественные очаговые тени с нечеткими контурами склонные к слиянию. Легочный рисунок усилен. Корни тяжисты. Синусы свободные. Границы cor в пределах нормы.
Заключение: Инфильтративный туберкулез обоих легких с признаками диссиминации.


Вложения:
23.png
23.png [ 428.48 KiB | Просмотров: 52263 ]

_________________
Я вас всех люблю, но порядок должен быть!
Вернуться наверх
 Профиль  
 
 Заголовок сообщения: Re: Туберкулез легких
СообщениеДобавлено: 12 фев 2018, 12:00 
Не в сети
Site Admin
Аватар пользователя

Зарегистрирован: 24 мар 2005, 22:44
Сообщений: 26576
Обсуждалось здесь https://vk.com/club84409679?w=wall-84409679_7031%2Fall


Вложения:
10.png
10.png [ 445.56 KiB | Просмотров: 50750 ]

_________________
Я вас всех люблю, но порядок должен быть!
Вернуться наверх
 Профиль  
 
 Заголовок сообщения: Re: Туберкулез легких
СообщениеДобавлено: 07 мар 2018, 17:16 
Не в сети
Site Admin
Аватар пользователя

Зарегистрирован: 24 мар 2005, 22:44
Сообщений: 26576
Перенесенный туберкулез

Обсуждалось здесь https://vk.com/club84409679?z=photo-844 ... 9_00%2Frev


Вложения:
7KdPe6MKppQ.jpg
7KdPe6MKppQ.jpg [ 538.98 KiB | Просмотров: 50414 ]
XtzYX2by2kI.jpg
XtzYX2by2kI.jpg [ 135.92 KiB | Просмотров: 50414 ]

_________________
Я вас всех люблю, но порядок должен быть!
Вернуться наверх
 Профиль  
 
 Заголовок сообщения: Re: Туберкулез легких
СообщениеДобавлено: 07 июл 2018, 14:09 
Не в сети
Site Admin
Аватар пользователя

Зарегистрирован: 24 мар 2005, 22:44
Сообщений: 26576
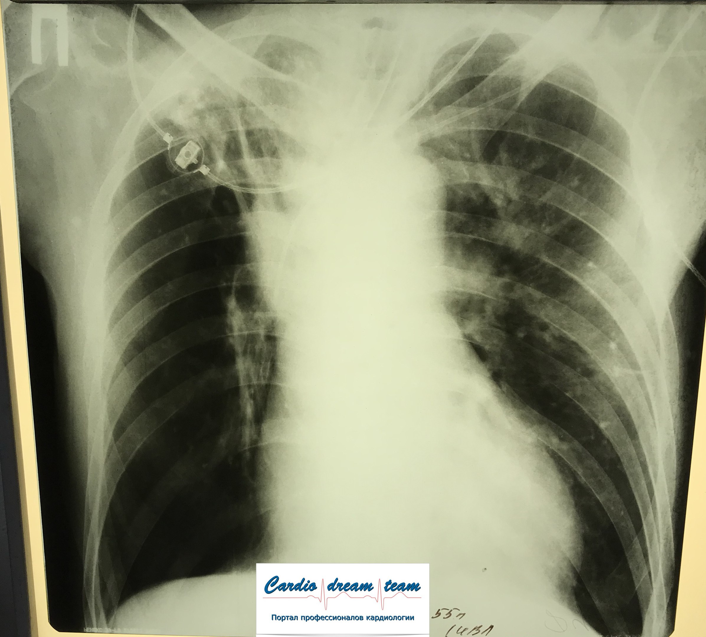
Перенесенный туберкулез

Обсуждалось здесь https://vk.com/club84409679?w=wall-84409679_8324%2Fall


Вложения:
IMG_4533.JPG
IMG_4533.JPG [ 152.22 KiB | Просмотров: 48137 ]

_________________
Я вас всех люблю, но порядок должен быть!
Вернуться наверх
 Профиль  
 
Показать сообщения за:  Сортировать по:  
Начать новую тему Ответить на тему  [ Сообщений: 14 ] 

Часовой пояс: UTC + 6 часов


Кто сейчас на форуме

Сейчас этот форум просматривают: нет зарегистрированных пользователей и гости: 0


Вы не можете начинать темы
Вы не можете отвечать на сообщения
Вы не можете редактировать свои сообщения
Вы не можете удалять свои сообщения
Вы не можете добавлять вложения

Найти:
Перейти:  
cron
Создано на основе phpBB® Forum Software © phpBB Group
Русская поддержка phpBB