cardiodreamteam.com

Портал профессионалов кардиологии
Текущее время: 27 фев 2026, 21:19

Часовой пояс: UTC + 6 часов




Начать новую тему Ответить на тему  [ 1 сообщение ] 
Автор Сообщение
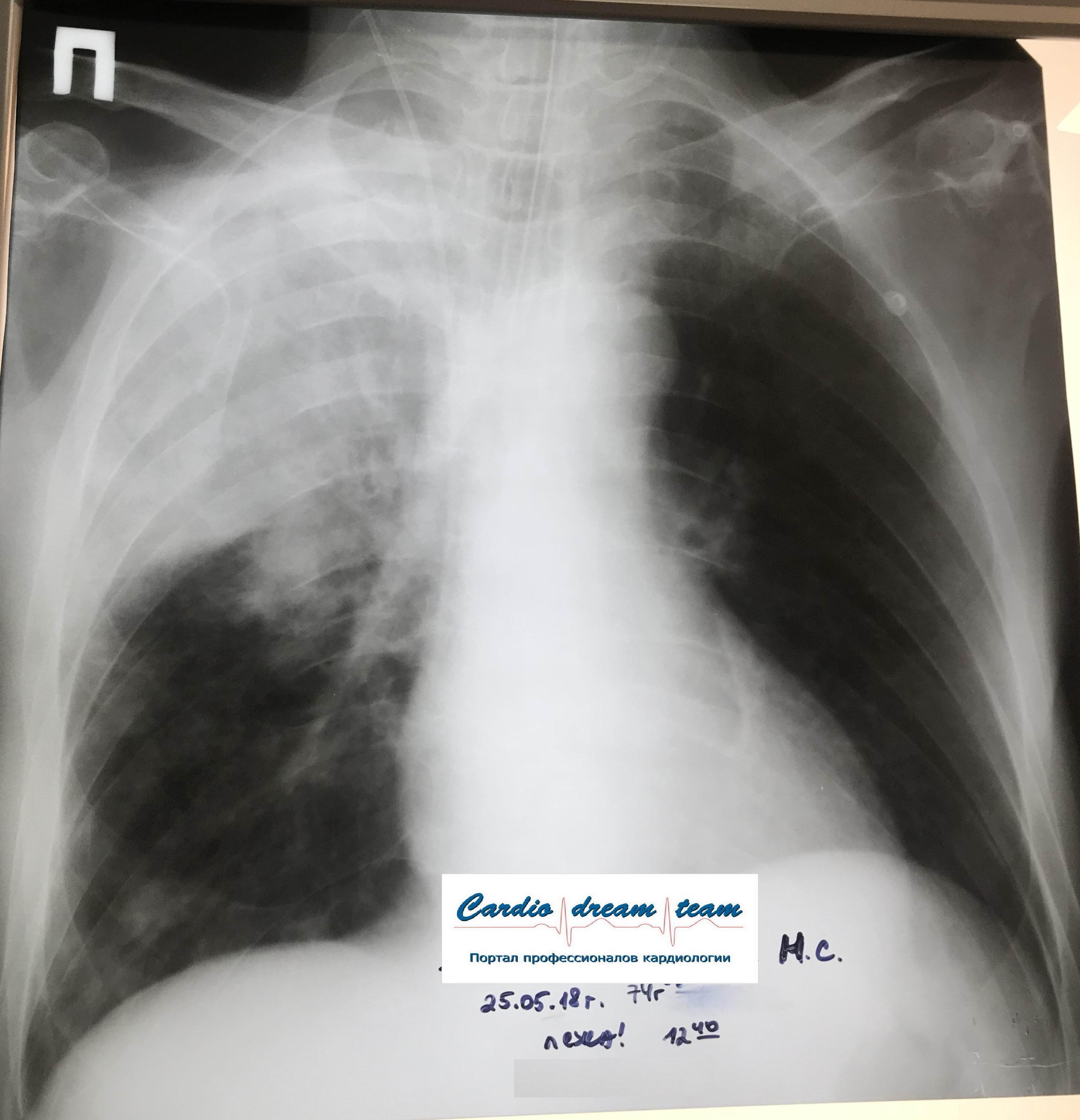
 Заголовок сообщения: Гиповентиляция
СообщениеДобавлено: 07 июл 2018, 14:24 
Не в сети
Site Admin
Аватар пользователя

Зарегистрирован: 24 мар 2005, 22:44
Сообщений: 26576
Гиповентиляция механическая - мокротой.

Обсуждалось здесь https://vk.com/club84409679?w=wall-84409679_8127%2Fall


Вложения:
Rotation of 123.jpg
Rotation of 123.jpg [ 497.12 KiB | Просмотров: 33156 ]

_________________
Я вас всех люблю, но порядок должен быть!
Вернуться наверх
 Профиль  
 
Показать сообщения за:  Сортировать по:  
Начать новую тему Ответить на тему  [ 1 сообщение ] 

Часовой пояс: UTC + 6 часов


Кто сейчас на форуме

Сейчас этот форум просматривают: нет зарегистрированных пользователей и гости: 1


Вы не можете начинать темы
Вы не можете отвечать на сообщения
Вы не можете редактировать свои сообщения
Вы не можете удалять свои сообщения
Вы не можете добавлять вложения

Найти:
Перейти:  
cron
Создано на основе phpBB® Forum Software © phpBB Group
Русская поддержка phpBB