cardiodreamteam.com

Портал профессионалов кардиологии
Текущее время: 30 май 2026, 00:52

Часовой пояс: UTC + 6 часов




Начать новую тему Ответить на тему  [ Сообщений: 4 ] 
Автор Сообщение
 Заголовок сообщения: Ателектаз
СообщениеДобавлено: 06 янв 2017, 13:55 
Не в сети
Site Admin
Аватар пользователя

Зарегистрирован: 24 мар 2005, 22:44
Сообщений: 26581
Ателектаз слева. Гнойный эндобронхит с закупоркой бронхов гноем.

Обсуждалось в Госпитале Ослабленных Сердец


Вложения:
IMG_8216.png
IMG_8216.png [ 1.37 MiB | Просмотров: 23242 ]

_________________
Я вас всех люблю, но порядок должен быть!
Вернуться наверх
 Профиль  
 
 Заголовок сообщения: Re: Ателектаз
СообщениеДобавлено: 17 янв 2017, 15:58 
Не в сети
Site Admin
Аватар пользователя

Зарегистрирован: 24 мар 2005, 22:44
Сообщений: 26581
Ателектаз слева. Центральный рак.

Обсуждалось в Госпитале Ослабленных Сердец


Вложения:
IMG_8472.JPG
IMG_8472.JPG [ 1.03 MiB | Просмотров: 23228 ]

_________________
Я вас всех люблю, но порядок должен быть!
Вернуться наверх
 Профиль  
 
 Заголовок сообщения: Re: Ателектаз
СообщениеДобавлено: 09 мар 2017, 23:32 
Не в сети
Site Admin
Аватар пользователя

Зарегистрирован: 24 мар 2005, 22:44
Сообщений: 26581
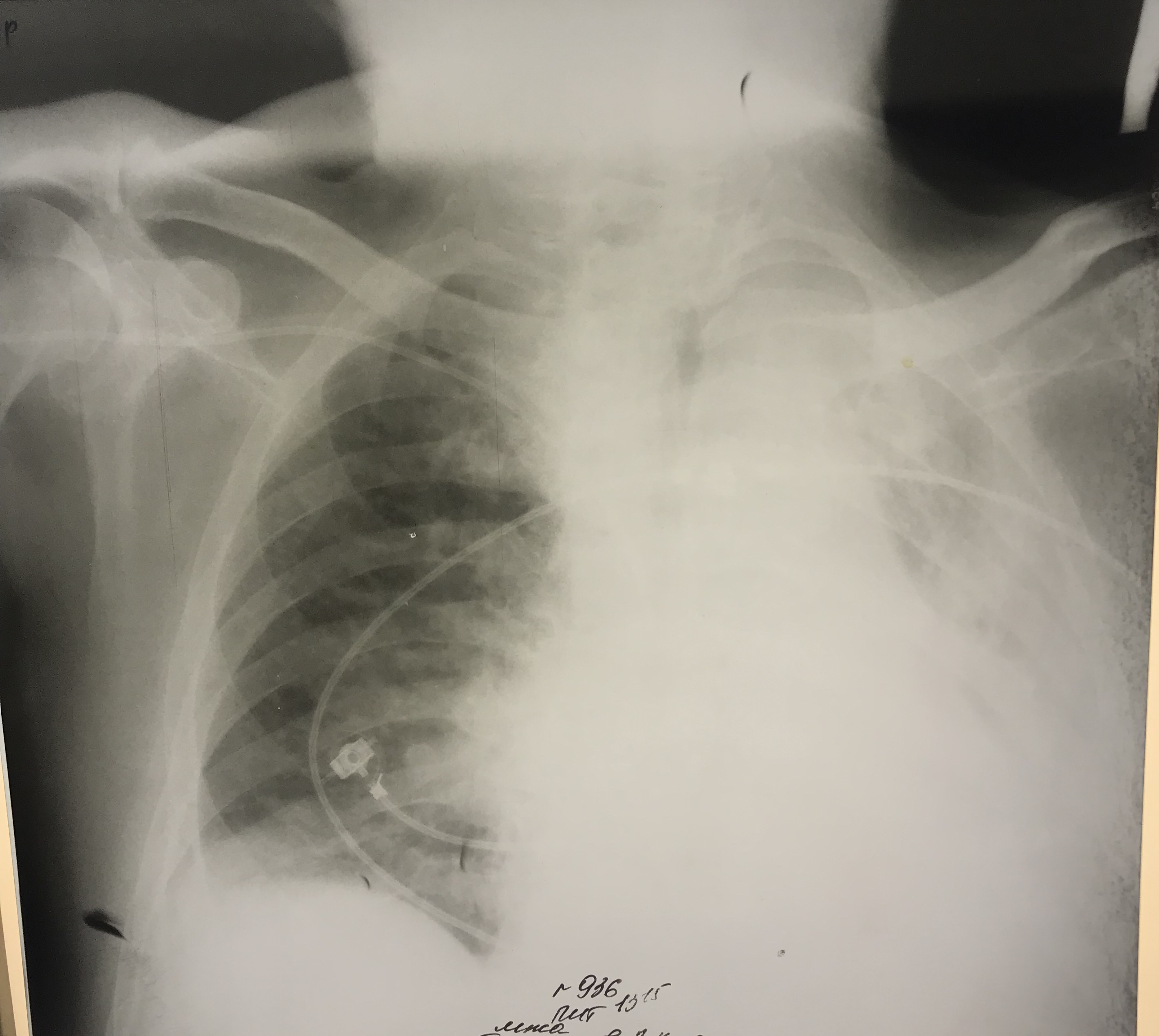
Ателектаз справа. Центральный рак.

Обсуждалось в Госпитале Ослабленных Сердец

Изображение

_________________
Я вас всех люблю, но порядок должен быть!


Вернуться наверх
 Профиль  
 
 Заголовок сообщения: Re: Ателектаз
СообщениеДобавлено: 21 дек 2018, 22:53 
Не в сети
Site Admin
Аватар пользователя

Зарегистрирован: 24 мар 2005, 22:44
Сообщений: 26581
Ателектаз у больного с инсультом

Обсуждалось здесь https://vk.com/club84409679?w=wall-84409679_9427%2Fall


Вложения:
IMG_9019.jpg
IMG_9019.jpg [ 948.01 KiB | Просмотров: 21476 ]

_________________
Я вас всех люблю, но порядок должен быть!
Вернуться наверх
 Профиль  
 
Показать сообщения за:  Сортировать по:  
Начать новую тему Ответить на тему  [ Сообщений: 4 ] 

Часовой пояс: UTC + 6 часов


Кто сейчас на форуме

Сейчас этот форум просматривают: нет зарегистрированных пользователей и гости: 1


Вы не можете начинать темы
Вы не можете отвечать на сообщения
Вы не можете редактировать свои сообщения
Вы не можете удалять свои сообщения
Вы не можете добавлять вложения

Найти:
Перейти:  
cron
Создано на основе phpBB® Forum Software © phpBB Group
Русская поддержка phpBB