cardiodreamteam.com

Портал профессионалов кардиологии
Текущее время: 30 май 2026, 00:52

Часовой пояс: UTC + 6 часов




Начать новую тему Ответить на тему  [ Сообщений: 2 ] 
Автор Сообщение
 Заголовок сообщения: Артефакты на снимке
СообщениеДобавлено: 24 окт 2016, 21:58 
Не в сети
Site Admin
Аватар пользователя

Зарегистрирован: 24 мар 2005, 22:44
Сообщений: 26581
Больная согнула руку в момент съемки


Вложения:
12-.jpg
12-.jpg [ 166.45 KiB | Просмотров: 14101 ]
23-.jpg
23-.jpg [ 62.99 KiB | Просмотров: 14102 ]
2222-.jpg
2222-.jpg [ 85.12 KiB | Просмотров: 14102 ]

_________________
Я вас всех люблю, но порядок должен быть!
Вернуться наверх
 Профиль  
 
 Заголовок сообщения: Re: Артефакты на снимке
СообщениеДобавлено: 18 ноя 2016, 19:04 
Не в сети
Site Admin
Аватар пользователя

Зарегистрирован: 24 мар 2005, 22:44
Сообщений: 26581
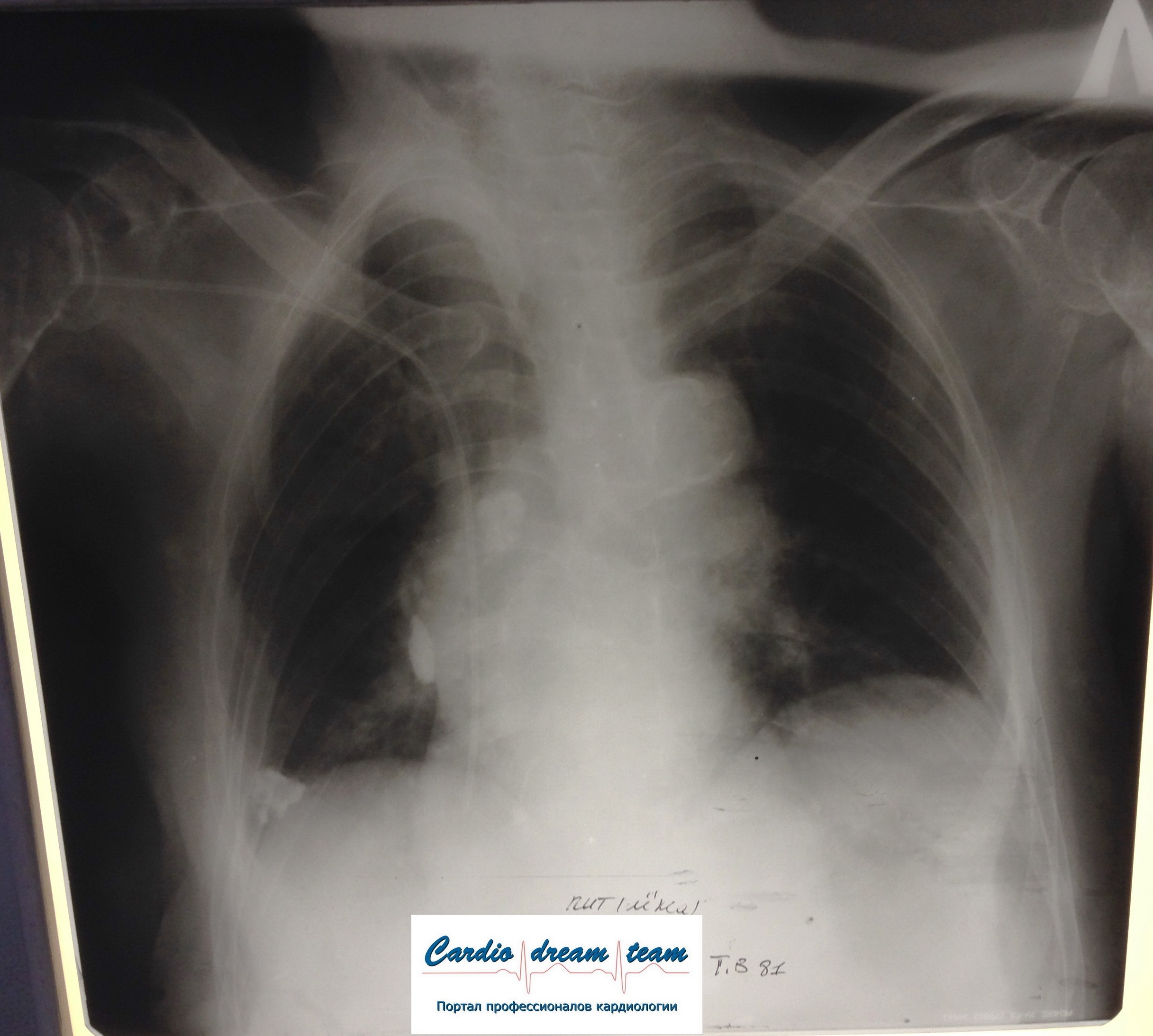
Неправильное положение тела при съемке

Есть только кальцинаты, остальное кажется

Обсуждалось в Госпитале Ослабленных Сердец


Вложения:
IMG_7749-.jpg
IMG_7749-.jpg [ 804.99 KiB | Просмотров: 14083 ]

_________________
Я вас всех люблю, но порядок должен быть!
Вернуться наверх
 Профиль  
 
Показать сообщения за:  Сортировать по:  
Начать новую тему Ответить на тему  [ Сообщений: 2 ] 

Часовой пояс: UTC + 6 часов


Кто сейчас на форуме

Сейчас этот форум просматривают: нет зарегистрированных пользователей и гости: 1


Вы не можете начинать темы
Вы не можете отвечать на сообщения
Вы не можете редактировать свои сообщения
Вы не можете удалять свои сообщения
Вы не можете добавлять вложения

Найти:
Перейти:  
cron
Создано на основе phpBB® Forum Software © phpBB Group
Русская поддержка phpBB