cardiodreamteam.com

Портал профессионалов кардиологии
Текущее время: 13 янв 2026, 09:44

Часовой пояс: UTC + 6 часов




Начать новую тему Ответить на тему  [ Сообщений: 18 ]  На страницу Пред.  1, 2
Автор Сообщение
 Заголовок сообщения: Re: Рак легких и метастазы в легкие
СообщениеДобавлено: 07 июл 2018, 14:30 
Не в сети
Site Admin
Аватар пользователя

Зарегистрирован: 24 мар 2005, 22:44
Сообщений: 26576
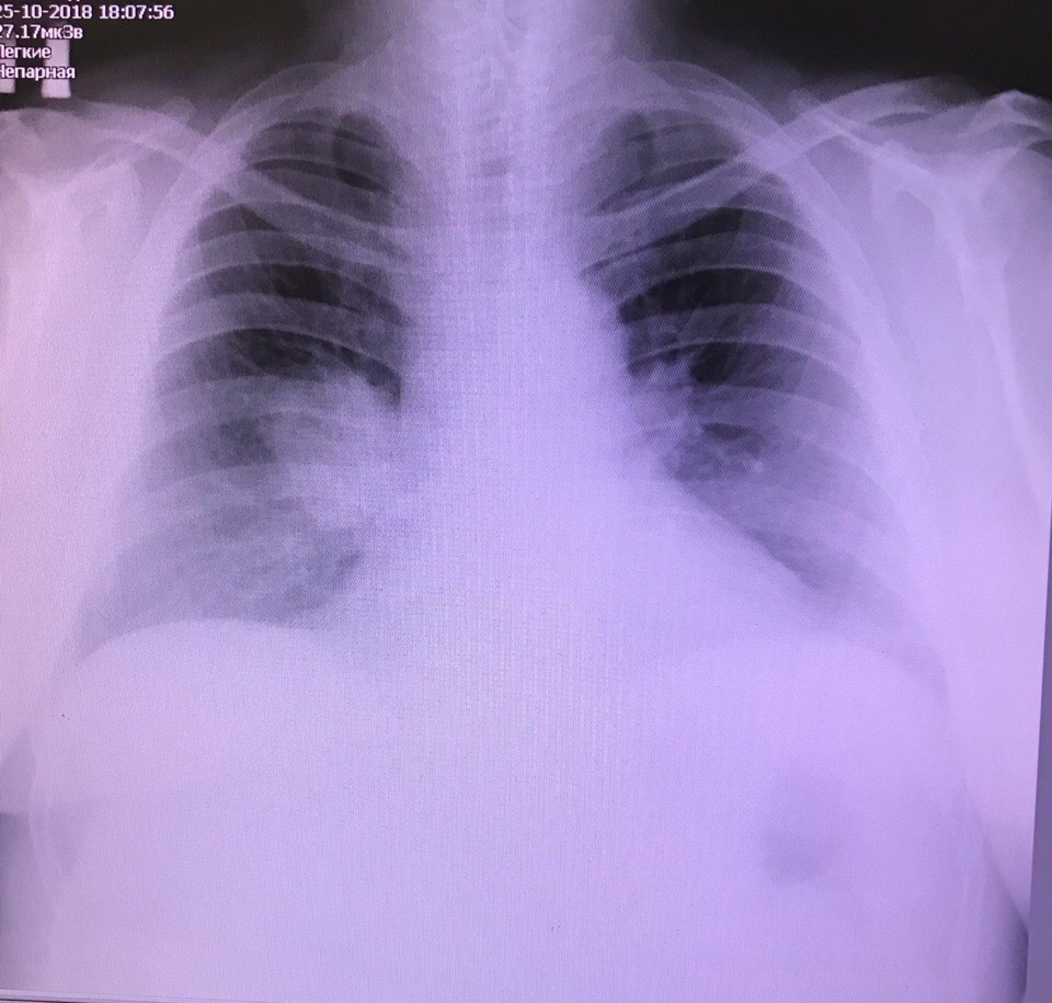
Метастазы

Обсуждалось здесь https://vk.com/club84409679?w=wall-84409679_8455%2Fall


Вложения:
IMG_1995.JPG
IMG_1995.JPG [ 165.26 KiB | Просмотров: 10684 ]

_________________
Я вас всех люблю, но порядок должен быть!
Вернуться наверх
 Профиль  
 
 Заголовок сообщения: Re: Рак легких и метастазы в легкие
СообщениеДобавлено: 11 ноя 2018, 17:20 
Не в сети
Site Admin
Аватар пользователя

Зарегистрирован: 24 мар 2005, 22:44
Сообщений: 26576
Центральный рак справа. Обсуждалось здесь https://vk.com/club84409679?w=wall-84409679_9290%2Fall


Вложения:
pixCipeklss.jpg
pixCipeklss.jpg [ 212.28 KiB | Просмотров: 10593 ]

_________________
Я вас всех люблю, но порядок должен быть!
Вернуться наверх
 Профиль  
 
 Заголовок сообщения: Re: Рак легких и метастазы в легкие
СообщениеДобавлено: 21 дек 2018, 22:30 
Не в сети
Site Admin
Аватар пользователя

Зарегистрирован: 24 мар 2005, 22:44
Сообщений: 26576
А здесь рака нет - порок сердца и поворот корня.
Обсуждалось здесь https://vk.com/club84409679?w=wall-84409679_9351%2Fall


Вложения:
IMG_8152.jpg
IMG_8152.jpg [ 145.82 KiB | Просмотров: 10475 ]

_________________
Я вас всех люблю, но порядок должен быть!
Вернуться наверх
 Профиль  
 
Показать сообщения за:  Сортировать по:  
Начать новую тему Ответить на тему  [ Сообщений: 18 ]  На страницу Пред.  1, 2

Часовой пояс: UTC + 6 часов


Кто сейчас на форуме

Сейчас этот форум просматривают: нет зарегистрированных пользователей и гости: 8


Вы не можете начинать темы
Вы не можете отвечать на сообщения
Вы не можете редактировать свои сообщения
Вы не можете удалять свои сообщения
Вы не можете добавлять вложения

Найти:
Перейти:  
cron
Создано на основе phpBB® Forum Software © phpBB Group
Русская поддержка phpBB